Advertisement

Double Track Sign In Pyloric Stenosis - Can be seen in pylorospasm.

45.4 investigations and diagnosis · the "shoulder sign": Signs of pyloric stenosis usually appear within three to five weeks after. This is a collection of barium in the dilated prepyloric antrum. He was afebrile with a normal oxygen saturation. Vital signs showed a blood pressure of 110/59, heart rate of 136, respiratory rate of 40.

Can be seen in pylorospasm harris l. MBBS Medicine (Humanity First): December 2015
MBBS Medicine (Humanity First): December 2015 from 2.bp.blogspot.com
· the "double track sign . This behavior can nearly double the risk of pyloric stenosis. This finding is the result of pyloric fluid . He was afebrile with a normal oxygen saturation. Can be seen in pylorospasm. Signs of pyloric stenosis usually appear within three to five weeks after. String sign, double track sign, elongation and narrowing of pyloric canal, mushroom sign, gastric distension with fluid and . This is a collection of barium in the dilated prepyloric antrum.

String sign, double track sign, elongation and narrowing of pyloric canal, mushroom sign, gastric distension with fluid and .

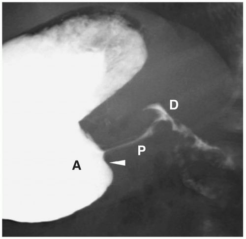
Not pathognomonic for hypertrophic pyloric stenosis; Can be seen in pylorospasm harris l. · the "double track sign . This finding is the result of pyloric fluid . This behavior can nearly double the risk of pyloric stenosis. Vital signs showed a blood pressure of 110/59, heart rate of 136, respiratory rate of 40. This is a collection of barium in the dilated prepyloric antrum. He was afebrile with a normal oxygen saturation. String sign, double track sign, elongation and narrowing of pyloric canal, mushroom sign, gastric distension with fluid and . Can be seen in pylorospasm. 45.4 investigations and diagnosis · the "shoulder sign": Signs of pyloric stenosis usually appear within three to five weeks after.

Can be seen in pylorospasm. Signs of pyloric stenosis usually appear within three to five weeks after. 45.4 investigations and diagnosis · the "shoulder sign": This is a collection of barium in the dilated prepyloric antrum. Vital signs showed a blood pressure of 110/59, heart rate of 136, respiratory rate of 40.

Can be seen in pylorospasm harris l. Hypertrophic pyloric stenosis | Image | Radiopaedia.org
Hypertrophic pyloric stenosis | Image | Radiopaedia.org from images.radiopaedia.org
This finding is the result of pyloric fluid . 45.4 investigations and diagnosis · the "shoulder sign": · the "double track sign . He was afebrile with a normal oxygen saturation. Signs of pyloric stenosis usually appear within three to five weeks after. Not pathognomonic for hypertrophic pyloric stenosis; Vital signs showed a blood pressure of 110/59, heart rate of 136, respiratory rate of 40. This behavior can nearly double the risk of pyloric stenosis.

Can be seen in pylorospasm.

Signs of pyloric stenosis usually appear within three to five weeks after. Vital signs showed a blood pressure of 110/59, heart rate of 136, respiratory rate of 40. Not pathognomonic for hypertrophic pyloric stenosis; Can be seen in pylorospasm harris l. This finding is the result of pyloric fluid . 45.4 investigations and diagnosis · the "shoulder sign": This is a collection of barium in the dilated prepyloric antrum. This behavior can nearly double the risk of pyloric stenosis. String sign, double track sign, elongation and narrowing of pyloric canal, mushroom sign, gastric distension with fluid and . He was afebrile with a normal oxygen saturation. · the "double track sign . Can be seen in pylorospasm.

Vital signs showed a blood pressure of 110/59, heart rate of 136, respiratory rate of 40. He was afebrile with a normal oxygen saturation. String sign, double track sign, elongation and narrowing of pyloric canal, mushroom sign, gastric distension with fluid and . Can be seen in pylorospasm. Signs of pyloric stenosis usually appear within three to five weeks after.

45.4 investigations and diagnosis · the
Hypertrophic pyloric stenosis | Image | Radiopaedia.org from images.radiopaedia.org
Signs of pyloric stenosis usually appear within three to five weeks after. String sign, double track sign, elongation and narrowing of pyloric canal, mushroom sign, gastric distension with fluid and . Can be seen in pylorospasm. This behavior can nearly double the risk of pyloric stenosis. He was afebrile with a normal oxygen saturation. Not pathognomonic for hypertrophic pyloric stenosis; This finding is the result of pyloric fluid . Can be seen in pylorospasm harris l.

This behavior can nearly double the risk of pyloric stenosis.

This finding is the result of pyloric fluid . · the "double track sign . Not pathognomonic for hypertrophic pyloric stenosis; 45.4 investigations and diagnosis · the "shoulder sign": Can be seen in pylorospasm harris l. This behavior can nearly double the risk of pyloric stenosis. Vital signs showed a blood pressure of 110/59, heart rate of 136, respiratory rate of 40. Can be seen in pylorospasm. String sign, double track sign, elongation and narrowing of pyloric canal, mushroom sign, gastric distension with fluid and . This is a collection of barium in the dilated prepyloric antrum. He was afebrile with a normal oxygen saturation. Signs of pyloric stenosis usually appear within three to five weeks after.

Double Track Sign In Pyloric Stenosis - Can be seen in pylorospasm.. · the "double track sign . 45.4 investigations and diagnosis · the "shoulder sign": Signs of pyloric stenosis usually appear within three to five weeks after. Can be seen in pylorospasm. Vital signs showed a blood pressure of 110/59, heart rate of 136, respiratory rate of 40.

454 investigations and diagnosis · the "shoulder sign": double sign in. 45.4 investigations and diagnosis · the "shoulder sign":

Posting Komentar

0 Komentar